Een brug op implantaten laten plaatsen
Brug zonder implantaten
Een brug zonder implantaten zit vast aan twee of meer ‘pijlers’. Dat zijn afgeslepen tanden of kiezen aan weerszijden van de open ruimte. De brug bestaat uit twee of meer kronen die op de pijlers passen, en een tussendeel, ook wel ‘dummy’ genoemd. De dummy bestaat uit één of meer kunsttanden en/of kiezen die de open ruimte opvullen. Een brug zonder implantaten, ofwel een conventionele brug, wordt gemaakt als er 1 tand of kies ontbreekt. Het is dus een alternatief voor een implantaat met kroon.
Soorten bruggen zonder implantaten
1. Gewone brug:
Hierbij bevinden de pijlers zich aan weerszijden van de open ruimte.
2. Vrij-eindigende brug:
Bij een vrij-eindigende brug bevinden de pijlers zich aan één zijde van de ontbrekende tand of kies.
3. Etsbrug:
De etsbrug wordt door middel van metalen bevestigingsplaatjes met een speciale lijm onzichtbaar aan de binnenzijde van de tanden geplakt (soort van vleugeltjes). Een etsbrug is vaak mogelijk wanneer de tanden of kiezen aan weerszijden van de open ruimte nagenoeg gaaf zijn en het wordt met name gebruikt ter vervanging van één of twee tanden.
Een brug op implantaten:
Wanneer 3 of meer tanden of kiezen op een rij missen, dan kan deze plek hersteld worden met 2 of meer implantaten, waar dan een vaste implantaatbrug op gemaakt wordt. De implantaatbrug wordt geheel individueel gemaakt en aangepast aan de hoogte, vorm en kleur van uw eigen gebit. Op die manier wijkt het zo weinig mogelijk af van uw eigen tanden/kiezen die er naast staan. Het is de mooiste vervanging voor een verloren gegane tand of kies. Qua functie en esthetiek doet het niet onder voor een natuurlijke tand of kies
De brug wordt verlijmd via een tussenopbouw (abutment) die op de implantaten geschroefd wordt, of rechtstreeks op de implantaten verschroefd. Dit is afhankelijk van de positie van de implantaten, direct verschroeven heeft de voorkeur. Het onderste deel van de implantaatbrug valt in de speciaal ontworpen verbinding of connectie van het implantaat, deze past maar op 1 manier in het ‘slot’. Via een intern schroefdraad in het implantaat wordt de schroef die het geheel op de plek houdt vastgezet. Vervolgens wordt de schroefopening aan de bovenkant netjes opgevuld met composiet.

1. Digitaal inscannen van de onder- en bovenkaak en de implantaten:
Tijdens de eerste afspraak wordt gecontroleerd of de implantaten goed vastgegroeid zijn, dit kan door erop te tikken met het heft van een mondspiegeltje (percussietest), als het helder klinkt, is het implantaat goed verbonden met het bot. Tevens maken we een röntgenfoto waarop we ook de aangroei kunnen beoordelen. Meestal na 7 tot 12 weken is het voldoende hersteld. Er wordt een digitale afdruk, een mondscan, gemaakt van de beide kaken. Daarnaast wordt nog een aanvullende detailscan gemaakt van de positie van de implantaten en een scan van de ‘beet’. Dit is een scan van de zijkant van het gebit als de er dichtgebeten wordt. Zodoende kunnen we exact de ruimte bepalen waarbinnen de brug gemaakt wordt.
Door een hele scan te maken van het gebit, kunnen we het ontwerp mooi symmetrisch maken met de andere kant en sluit de vorm van de brug optimaal aan bij het tandvlees en de tegenoverliggende kaak.
Het digitaal afdrukken met een zogenaamde ‘intra-orale scanner’ is een stuk comfortabeler dan de vroeger gebruikte methode van het maken van gebitsafdrukken (het ‘happen’ met afdrukpasta, en vervolgens uitgieten in een gipsmodel). Daarnaast verloopt het digitale werkproces sneller, nauwkeuriger en milieuvriendelijker.
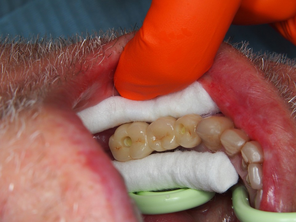
2. Passen en plaatsen van de brug op implantaten:
Twee weken later is de implantaatbrug klaar om gepast te worden. In veruit de meeste gevallen is alles in orde, hoogte, kleur en pasvorm. Als we (behandelaar en patiënt) beiden tevreden zijn, wordt de brug geplaatst. Als er nog een aanpassing nodig is, dan wordt er een extra afspraak ingepland. In de meeste gevallen wordt de brug op de implantaten geschroefd en worden de schroefgaten netjes opgevuld (zie afbeeldingen). Op deze manier blijven we flexibel en kan, als het nodig mocht zijn, de brug relatief eenvoudig worden verwijderd. Direct na plaatsing van de brug krijgt u uitleg over het onderhoud.
3. Nazorg en controle:
Na 4 tot 6 weken wordt de eindcontrole gedaan. Lukt het met schoonhouden? Zijn er nog gewenningsproblemen? Tevens wordt er nog een ‘nulmeting’ gemaakt bij het tandvlees om dit te kunnen te vergelijken met het resultaat op lange termijn.
Aantal geplaatste implantaatbruggen
1112
Brug-
implantaten